Non Compaction Echo
Left ventricular non-compaction (LVNC) is a condition of the heart where the walls of the left ventricle (the bottom chamber of the left side of the heart) are non-compacted, causing channels to form in the heart muscle.
Non compaction echo. Rev Port Cardiol Orgao Of Soc Port Cardiol Port J Cardiol Off J Port Soc Cardiol. Left ventricular noncompaction (LVNC) cardiomyopathy is characterized by prominent myocardial trabeculations and deep recesses. Review of the 35 discordant cases resulted in agreement in 24 while 11 remained questionable.
Characterization and follow-up of an affected population. In a large series of patients referred to a tertiary care echocardiography laboratory, the prevalence of IVNC was 0.014%;. Some authors prefer the term noncompaction of ventricular myocardium (omitting ‘left’), as the condition appears to affect both ventricles in several patients.
Also known as “isolated non-compaction of the left ventricular myocardium” or “spongiform cardiomyopathy,” it is primarily caused by the abnormal embryonic development of the heart muscle. In left ventricular noncompaction (LVNC), there is retarded myocardial morphogenesis and persistence of the trabecular meshwork (B). Left ventricular noncompaction is a rare unclassified cardiomyopathy with markedly prominent apical trabeculae with deep intertrabecular recesses (Fig.
Enjoy the videos and music you love, upload original content, and share it all with friends, family, and the world on YouTube. Left ventricular noncompaction (LVNC) is a cardiomyopathy associated with sporadic or familial disease, the latter having an autosomal dominant mode of transmission. Echocardiographic short axis apical views of the left ventricle in a patient with non-compaction cardiomyopathy and a G4.5 mutation.
Genetics, Clinical Features, and Long-Term Outcome of Noncompaction Cardiomyopathy. Echocardiograms were matched for patients with and without a clinical diagnosis of LVNC. Left ventricular non-compaction, the most recently classified form of cardiomyopathy, is characterised by abnormal trabeculations in the left ventricle, most frequently at the apex.
It is characterised by excessive, coarse trabeculations within ventricular myocardium beyond papillary muscle insertion which communicates freely with the ventricular cavity. Ventricular noncompaction (or non-compaction), though nomenclature is still debated. There have been a few reports in the literature detailing isolated cases of fetal and neonatal LVNC cardiomyopathy.
Similarly, our protocols help establish step-by-step procedures for performing roles within the echocardiography field, offering an advanced resource that can be beneficial across the board. It results from the failure of myocardial development during embryogenesis. The first case of noncompaction was described in 1932 after an autopsy performed on a newborn infant with aortic atresia/coronary-ventricular fistula.
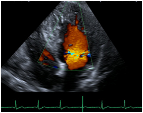
This gives the left ventricle a 'spongy' look (a bit like honeycomb). As normal development progresses, these trabeculated structures undergo significant compaction that transforms them from spongy to solid. These are best visualized on color flow Doppler of the left ventricle using apical windows.
Symptoms of LVNC include:. Left ventricular noncompaction (LVNC) describes a ventricular wall anatomy characterized by prominent left ventricular (LV) trabeculae, a thin compacted layer, and deep intertrabecular recesses. This process is particularly apparent in the ventricles, and particu.
Jenni criteria (Heart 07). Echo Kommentar Die Non-Compaction-Kardiomyopathie wird nach Definition der „American Heart Association“ den primär genetischen Kardiomyopathien zugeordnet. The number of publications related to left ventricular noncompaction in recent years has risen sharply.
Clinical guidelines help to support evidence-based practice in echocardiography, and all guidelines can be found in the ECHO journal. A review on selected/relevant medical literature was conducted using Pubmed from 1 …. LV Non Compaction • Noncompaction of the left ventricular myocardium (LVNC) is being increasingly recognized and its diagnosis has moved from the autopsy table or previously poorly recognized entity to a widely recognized cardiomyopathy.
Individual variability is extreme, and trabeculae represent a sort of individual “cardioprinting.” By itself, the diagnosis of LVNC does not coincide with that of a “cardiomyopathy” because it. 5 in a single-centre heart failure clinic, IVNC was the underlying cause of heart failure in 2.7% and heart transplantation in 2% of the patients. LV ejection fraction ranged from 4-%.
Non-compaction of the left ventricle, also known as spongiform cardiomyopathy or left ventricular non-compaction (LVNC) is a phenotype of hypertrophic ventricular trabeculations and deep interventricular recesses.It has been hypothesized to result from arrest of normal myocardial compaction during embryogenesis, although acquired cases have also been reported. A rare case of biventricular non-compaction associated with ventricular septal defect and descendent aortic stenosis in a young man. May 21, 17 - Left ventricular non-compaction cardiomyopathy (LVNC) is a newly recognized form of cardiomyopathy still in the early phases of medical understanding.
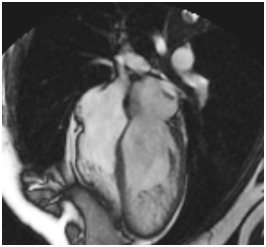
All 38 patients had a diagnosis of LV non-compaction on cardiac MRI, using criteria of non-compacted/compacted myocardium > 2.5 to 1.0 and deep LV trabeculations. During development, the heart muscle is a sponge-like network of muscle fibers. Eur J Echocardiogr 08;.
Eft ventricular noncompaction (LVNC) is de-fined by 3 markers:. Other authors use the term hypertrabeculation, which describes the. 1-3 The clinical spectrum of the disorder ranges from being completely asymptomatic to progressive left ventricular (LV) systolic impairment, a tendency to fatal arrhythmias and systemic thromboembolic events.
These pieces of muscles are called trabeculations. Echo-cardiography and black blood cardiac MRI images may show thickened myocardium without trabeculations corresponding to areas of noncompaction. Left ventricular noncompaction 2.
Left ventricular non-compaction (LVNC) is a rare heart condition where the walls of the left ventricle (the lower left chamber of the heart muscle) are non-compacted. Isolated noncompaction cardiomyopathy was first described in 1984. The left ventricle is the heart's main pumping chamber and normally has smooth walls.
Signs and symptoms of LVNC vary, but may cause life-threatening abnormal heart rhythms and weakness of the heart muscle. Background Left ventricular noncompaction (LVNC) cardiomyopathy is a rare form of cardiomyopathy.It is difficult to diagnose prenatally and therefore not well described in the fetal population. In children it is third most common primary cardiomyopathy however it is very rare in adults.
Echocardiography is the method of choice to establish a diagnosis and determine a treatment plan for patients with noncompaction of ventricular myocardium (NVM). Left ventricular non-compaction, also known as LVNC, spongy myocardium or hypertrabeculation syndrome, is a pathologic cardiac condition in which the myocytes exhibit a “spongy” appearance. Derzeit ist die Kenntnis dieser seltenen Herzmuskelerkrankung noch nicht.
Although echocardiography has been the diagnostic test of choice for noncompaction, other modalities have been used for the diagnosis, including contrast ventriculography, ,21 computed tomography, 16,21 and MRI. The following are key points to remember from this report on a multicenter retrospective study from the Netherlands that analyzed patients with noncompaction cardiomyopathy (NCCM). Blinded reviews of echocardiograms measured (1) depths of intertrabecular recesses (X/Y), (2) noncompaction-to-compaction ratio (NC/C), and (3) number of trabeculations, using a segmental approach.
Left ventricular noncompaction is a rare cardiomyopathy that should always be considered as a possible diagnosis because of its potential complications. Left Ventricular Non Compaction Cardiomyopathy (LVNC) Raysa Morales-Demori, MD. Isolated left ventricular non-compaction is a rare disorder.
Contrast-enhanced echo-cardiography and cine SSFP imaging are fundamental to a correct differential diagnosis because they can depict myocardial trabeculations corresponding to areas characterized by myocardial thickening. Left ventricular noncompaction 1. The ability to acquire LVNC is supported by case reports and studies demonstrating increased LV trabeculation developing on serial echocardiographic assessment (9–11).
3 The clinical diagnosis is predominantly reliant on three. Echocardiography is the standard tool for diagnosis, and CMR is very useful to confirm or rule out this disease, especially when the apex is difficult to visualise. 9:306–308 Google Scholar 49.
It can be associated with left ventricular dilation or hypertrophy, systolic or diastolic dysfunction, or both, or various forms of congenital heart disease. Isolated left ventricular noncompaction (LVNC) is a genetic cardiomyopathy characterized by prominent ventricular trabeculations and deep intertrabecular recesses, or sinusoids, in communication with the left ventricular cavity. Left Ventricular Non-Compaction Case Studies Matt Umland, ACS, RDCS, FASE Aurora Health Care Milwaukee, WI Left Ventricular Noncompaction Cardiomyopathy • 1926 Grant - Malformed heart of a child • 1975 Dusek - Spongy Myocardium • 1984 Englberding – Echo Diagnosis of Myocardial Sinusoids • 1986 Jenni – Biventricular Sinusoids.
Agreement between the three reviewers occurred in 65% of the cases. The low prevalence of patients with this cardiomyopathy presents a unique challenge for large, prospective trials to assess its pathogenesis, management, and outcomes. During development, the majority of the heart muscle is a sponge-like meshwork of interwoven myocardial fibers.
15,25,26 MRI provides good correlation with echo for localization and extent of noncompaction and is useful in cases with poor. Echoes from 100 patients, of which 51 had received the diagnosis of LV non-compaction (NC), were reviewed. Prominent left ventric-ular (LV) trabeculae, deep intertrabecular recesses, and the thin compacted layer (1).The spectrum of morphologic variability is extreme, ranging from hearts with a nearly absent compacted layer and an almost exclusively trabecular compo-.
Also called insulated non compaction of the ventricular myocardium (INVM), it is a rare form of congenital heart disease in which the tissue of the ventricular myocardium is not well constructed in terms of texture. • Lot of research work- publications. J Am Coll Cardiol 18;71:711-722.
The ventricular non-compaction or spongy myocardium is a rare congenital cardiomyopathy which is caused by defective morphogenesis of myocardium during embryonic life. MedlinePlus - Health Information from the National Library. The non-compaction reduces how well the heart can pump blood around the body (which can cause symptoms of heart failure as the heart fails to meet the needs of the body) or the trabeculations affect the normal electrical signalling of the heart (which can cause arrhythmias - heart rhythm disturbances).
Through ECHO window 3. (A) End-systolic image, showing the compacted layer (red arrow) with 6.3 mm thickness and the non-compacted layer (blue arrow) with 14.4 mm (ratio non-compacted/compacted >2). Left ventricular noncompaction (LVNC) is a rare primary genetic cardiomyopathy caused by arrest of normal embryogenesis of the endocardium and myocardium leading to prominent trabeculations and hypertrophy of the left ventricle giving spongy appearance.
Left ventricular non compaction (LVNC) is a type of cardiomyopathy which is characterized by the presence of prominent trabeculations in the left ventricle with deep recesses between the trabeculations and a thin compacted myocardial layer. A series of 15 cases. Noncompaction of the ventricular myocardium:.
In left ventricular non-compaction cardiomyopathy (LVNC) the lower left chamber of the heart, called the left ventricle, contains bundles or pieces of muscle that extend into the chamber. Pathophysiologie, Epidemio-logie und Verlauf sind weitgehend unbekannt. Enríquez R A, Baeza V R, Gabrielli N L, Córdova A S, Castro G P.
However, in our clinical experience, with frequent detailed echo imaging of the right ventricle along with 3D imaging, RV non-compaction seems more prevalent than originally thought. Affected individuals are at risk of left or right. Non-compaction cardiomyopathy (NCCMP) LV wall has a spongy appearance.
We aimed to investigate the compaction process of the LV myocardium during the normal gestation period and provide reference for echocardiographic diagnosis of a fetus with ventricular myocardium noncompaction. In LVNC the inside wall of the heart is spongy or grooved, instead of smooth. 1990-First diagnostic criteria • LVNC X (distance between epicardial surface and trough of the intertrabecular recesses) Y (distance between epicardial surface and peak of the trabeculations) If X/Y< 0.5 if it progressively.
The 2-dimentional echocardiography, 3-dimentional echocardiography, color Doppler echocardiography and contrast-enhanced echocardiography are of critical importance for diagnosis and family screening of NVM. Left ventricular noncompaction (LVNC) is a rare heart condition. Left ventricular noncompaction (LVNC) is a distinct phenotype characterized by prominent LV trabeculae and deep intertrabecular recesses .LVNC was previously also called spongy myocardium or hypertrabeculation syndrome but these terms should not be used interchangeably with LVNC .This review will focus on clinical manifestations and diagnosis of LVNC as an isolated disorder.
Non-compaction cardiomyopathy, is a rare congenital cardiomyopathy that affects both children and adults. Apical 4 chamber view shows multiple trabeculations and deep recesses at the ventricular apex. However, there are still many unknowns regarding its etiology and pathology, but also the.
The existence and prevalence of non-compaction of the right ventricle is essentially unknown and considered rare.

Adult Left Ventricular Noncompaction Jacc Cardiovascular Imaging

Wall Thickness Measurements In Lv Non Compaction Para Sternal Short Download Scientific Diagram
2
Non Compaction Echo のギャラリー

Frontiers Different Manifestations In Familial Isolated Left Ventricular Non Compaction Two Case Reports And Literature Review Pediatrics

Noncompaction Of Left Ventricle Transthoracic Echocardiogram Tte Echocardiogram Cardiac Sonography Vascular Ultrasound

Incremental Value Of Contrast Echocardiography In The Diagnosis Of Left Ventricular Noncompaction

Ebstein S Anomaly With Left Ventricular Noncompaction And Bicuspid Aortic Valve Jacc Journal Of The American College Of Cardiology

Clinical And Echocardiography Features Of Diagnosed In Adulthood Isolated Left Ventricular Noncompaction A Case Series Study Huang Wh Sung Kt Tsai Jp Lo Ci Hsiao Cc Kuo Jy Su Ch Chen Mr

Echocardiogram Lv Non Compaction Youtube

Pedi Cardiology Lv Non Compaction

Coronary To Left Ventricle Blood Drainage In Isolated Myocardial Non Compaction Novel Findings From Intracoronary Echo Contrast Myocardial Imaging Springerlink

Reduced Left Ventricular Compacta Thickness A Novel Echocardiographic Criterion For Non Compaction Cardiomyopathy Catherine Gebhard Md Barbara E Ppt Download

Sports Participation In Non Compaction Cardiomyopathy A Systematic Review British Journal Of Sports Medicine

Sotos Syndrome Isolated Left Ventricular Non Compaction Cardiomyopathy And Ventricular Pre Excitation A Case Report Sotos Syndrome Isolated Left Ventricular Non Compaction Cardiomyopathy And Ventricular Pre Excitation A Case Report

Left Ventricular Noncompaction

Pdf Left Ventricular Non Compaction In Children And Adolescents Clinical Features Treatment And Follow Up

Non Compaction Cardiomyopathy Heart

Assessment Of Left Ventricular Non Compaction In Adults Side By Side Comparison Of Cardiac Magnetic Resonance Imaging With Echocardiography Sciencedirect

British Cardiovascular Society
Q Tbn 3aand9gcrkapcl4baeka9fkrwrvwzj0ju90acr2gmm Sddxkhbkugmdsiw Usqp Cau

Left Ventricular Non Compaction A Review Of Literature On Clinical Status And Meta Analysis Of Diagnostic And Clinical Management Methods

Color Doppler In Lv Non Compaction Apical Four Chamber Views With Download Scientific Diagram

Expanding The Impact Of Contrast Echocardiography

Apical Hypertrophic Cardiomyopathy Or Left Ventricular Non Compaction Thoracic Key

Lv Non Compaction Youtube

A Case Of Isolated Right Ventricle Noncompaction With St Elevation Chest Leads

Multimodality Imaging Of Left Ventricular Non Compaction Cardiomyopathy Associated With Situs Inversus

Left Ventricular Non Compaction Cardiomyopathy Thoracic Key

Isolated Non Compaction Of Right Ventricular Myocardium A Rare Congenital Anomaly And Role Of Echocardiogram A Case Report

Catastrophic Stroke In A Patient With Left Ventricular Non Compaction In Echo Research And Practice Volume 5 Issue 3 18

Figure 1 From Non Compaction Cardiomyopathy Risk Stratification Of Sudden Death For Automatic Cardioverter Defibrillator Implantation Semantic Scholar

Non Compaction Of The Left Ventricle Radiology Reference Article Radiopaedia Org

Cureus Left Ventricle Non Compaction Cardiomyopathy Admitted With Multiorgan Failure A Case Report

Non Compacted Cardiomyopathy Is There A Need Of A New Cardiomyopathy
Q Tbn 3aand9gctgvbjhjzmvzgqtpdqugi0pfi2jttwcg9oim77pctd0oyxhq5ib Usqp Cau

Isolated Left Ventricular Noncompaction Cardiomyopathy A Transient Disease

Left Ventricular Noncompaction

A Review Of The Safety And Clinical Utility Of Contrast Echocardiography Smj

Anzcmr Non Compaction Cardiomyopathy S Chen
Www Asecho Org Wp Content Uploads 18 03 Umland Case Studies Left Ventricular Noncompaction Pdf

Catastrophic Stroke In A Patient With Left Ventricular Non Compaction In Echo Research And Practice Volume 5 Issue 3 18

Isolated Left Ventricular Noncompaction In Sub Saharan Africa A Clinical And Echocardiographic Perspective Circulation Cardiovascular Imaging

British Cardiovascular Society

Late Gadolinium Enhancement In Non Compaction Cardiomyopathy Revista Espanola De Cardiologia English Edition
Q Tbn 3aand9gcsudvexapv1fpwyogwseapqrfe8dmgm4o7b Nsgqplfuizcxwt Usqp Cau

Left Ventricular Trabeculations In Athletes American College Of Cardiology
Onlinelibrary Wiley Com Doi Pdf 10 7863 Jum 12 31 10 1551

Expanding The Impact Of Contrast Echocardiography

Figure 1 From Non Compaction Cardiomyopathy Prevalence Prognosis Pathoetiology Genetics And Risk Of Cardioembolism Semantic Scholar

Isolated Left Ventricular Noncompaction Cardiomyopathy A Transient Disease

Left Ventricular Noncompaction Cardiomyopathy Shemisa Cardiovascular Diagnosis And Therapy

Differential Diagnosis Of Thickened Myocardium An Illustrative Mri Review Insights Into Imaging Full Text

Multiple Thrombi In The Lv In Non Compaction Cardiomyopathy American College Of Cardiology

Echocardia Wiki

Non Compaction Cardiomyopathy Heart

Improvement In Systolic Function In Left Ventricular Non Compaction Cardiomyopathy A Case Report Sciencedirect

Fetal Noncompaction Cardiomyopathy And Histologic Diagnosis Of Spongy Myocardium Case Report And Review Of The Literature

Echocardiography In The Diagnosis Left Ventricular Noncompaction Cardiovascular Ultrasound Full Text

Isolated Noncompaction Of The Left Ventricular Myocardium In Adults A Systematic Overview Journal Of Cardiac Failure

Limitations In The Diagnosis Of Noncompaction Cardiomyopathy By Echocardiography
A Patient With Abnormalities Of The Coronary Arteries And Non Compaction Of The Left Ventricular Myocardium Resulting In Ischaemic Heart Disease Symptoms Dabek Folia Morphologica

Left Ventricular Noncompaction Cardiomyopathy Thoracic Key

Multimodality Imaging Of Left Ventricular Non Compaction Cardiomyopathy Associated With Situs Inversus

Left Ventricular Noncompaction

Jpma Journal Of Pakistan Medical Association

Late Gadolinium Enhancement In Non Compaction Cardiomyopathy Revista Espanola De Cardiologia English Edition

Limitations In The Diagnosis Of Noncompaction Cardiomyopathy By Echocardiography

Contrast Echo Lv Non Compaction Echocardiography Cardiac Ultrasound Youtube

Isolated Left Ventricular Non Compaction Cardiomyopathy In Adults Journal Of Cardiology

Multiple Thrombi In The Lv In Non Compaction Cardiomyopathy American College Of Cardiology

Contrast And 3d Echocardiography In Lv Non Compaction Apical Four Download Scientific Diagram

Improvement In Systolic Function In Left Ventricular Non Compaction Cardiomyopathy A Case Report Sciencedirect

Noncompaction Cardiomyopathy Case Presentation With Cardiac Magnetic Resonance Imaging Findings And Literature Review

Left Ventricular Non Compaction Jacc Journal Of The American College Of Cardiology
Www Asecho Org Wp Content Uploads 18 03 Umland Case Studies Left Ventricular Noncompaction Pdf

Isolated Non Compaction Of Right Ventricular Myocardium A Rare Congenital Anomaly And Role Of Echocardiogram A Case Report

A Rare Case Of Biventricular Non Compaction Bmj Case Reports

Left Ventricular Non Compaction Youtube

Masking And Unmasking Of Isolated Noncompaction Of The Left Ventricle With Real Time Contrast Echocardiography Circulation Cardiovascular Imaging

Left Ventricular Trabeculations In Athletes American College Of Cardiology
Q Tbn 3aand9gcqjvpxgcpbnml9epyktyhecskzgai Bug6daksbdocvsnqcknf Usqp Cau
Thickness And Ratio Of Noncompacted And Compacted Layers Of The Left Ventricular Myocardium Evaluated In 56 Normal Fetuses By Two Dimensional Echocardiography

Left Ventricular Non Compaction A Review Of Literature On Clinical Status And Meta Analysis Of Diagnostic And Clinical Management Methods

Reproducibility Of Echocardiographic Diagnosis Of Left Ventricular Noncompaction Sciencedirect

Left Ventricular Noncompaction Cardiomyopathy Lvnc Youtube

Isolated Left Ventricular Noncompaction In Sub Saharan Africa A Clinical And Echocardiographic Perspective Circulation Cardiovascular Imaging

Left Ventricular Noncompaction

Left Ventricular Non Compaction Lvnc

Non Compaction Of The Left Ventricle Heart

Incremental Value Of Contrast Echocardiography In The Diagnosis Of Left Ventricular Noncompaction

Clinical And Echocardiography Features Of Diagnosed In Adulthood Isolated Left Ventricular Noncompaction A Case Series Study Huang Wh Sung Kt Tsai Jp Lo Ci Hsiao Cc Kuo Jy Su Ch Chen Mr

Echocardiographic Quantification Of Regional Deformation Helps To Distinguish Isolated Left Ventricular Non Compaction From Dilated Cardiomyopathy Niemann 12 European Journal Of Heart Failure Wiley Online Library

Left Ventricular Noncompaction Cardiomyopathy Circulation

Noncompaction Cardiomyopathy Case Presentation With Cardiac Magnetic Resonance Imaging Findings And Literature Review Saeedan Mb Fathala Al Mohammed Tlh Heart Views

Non Compaction Of The Left Ventricle Radiology Reference Article Radiopaedia Org

Non Compacted Cardiomyopathy Clinical Echocardiographic Study Cardiovascular Ultrasound Full Text

Patient With Left Ventricular Non Compaction This Patient Was Download Scientific Diagram
2

Figure 1 From Images In Cardiovascular Medicine Overlapping Phenotypes Left Ventricular Noncompaction And Hypertrophic Cardiomyopathy Semantic Scholar
Http Medreviews Com Sites Default Files 17 02 Ricm153 8 Min Pdf

Left Ventricular Non Compaction
Www Onlinejacc Org Content 64 17 1840 Full Pdf

Left Ventricular Noncompaction Diagnosed Following Graves Disease Habib H Hawatmeh A Rampal U Shamoon F Avicenna J Med

Short Axis Echo View Of Lvnc